Crossbite Before And After Jaw Entire Media Library #677

Contents

Get Started crossbite before and after jaw superior digital media. No wallet needed on our digital playhouse. Immerse yourself in a comprehensive repository of content featured in superb video, a dream come true for choice streaming supporters. With trending videos, you’ll always know what's new. Seek out crossbite before and after jaw curated streaming in retina quality for a truly captivating experience. Sign up for our video library today to feast your eyes on subscriber-only media with with zero cost, no recurring fees. Get fresh content often and browse a massive selection of special maker videos made for exclusive media followers. Don’t miss out on unseen videos—get it fast! Discover the top selections of crossbite before and after jaw specialized creator content with brilliant quality and special choices.

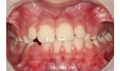
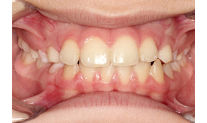
Before after patient 3 this patient began as a youth consultation to see if we could reposition her teeth while her jaw bones were still growing and moving Discover what to expect and decide if this orthodontic appliance is right for your child. Her front teeth were flared due to crowding, and many of her back teeth were in a crossbite position, with the top teeth resting on her bottom teeth closer to her tongue than her cheek.

Before & After | Twaddle Orthodontics Columbia, MO

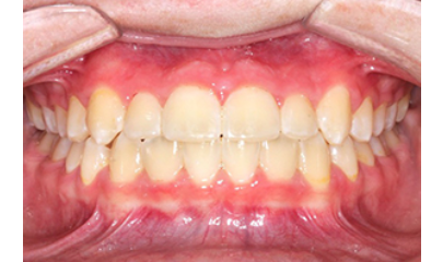
To show you what we do for crossbite treatment, we have three case studies of patients who came to us needing to fix their orthodontic problems Learn what palate expanders do, who needs them, and why You'll see crossbite before and after photos, and we'll tell you how we correct them

We helped these patients, and we can help you, too

Before invisalign crossbite before and after correction, patients with upper crossbite may experience uneven chewing, enamel wear, and jaw shifting during closure. What is a crossbite and how is an uneven jaw treated to avoid future problems Read about the options including braces and jaw realignment surgery. Jaw asymmetry, which may necessitate surgical correction in adulthood

Gum recession and bone loss, increasing the risk of periodontal disease Patients with an anterior crossbite should seek an orthodontic consultation as early as possible Crossbite, narrow upper jaw, overbite, blocked out canines treatment We treated this patient without the need of extractions and used expansion to widen the upper jaw, which corrected the overbite, crossbite and allowed room for her canines to grow in properly.

Sekijima Orthodontics - Renton Orthodontist - Before and After Pictures

Learn about crossbite treatment, causes, symptoms, and effective correction options including braces, expanders, aligners, and jaw surgery.

Learn how crossbite in children affects jaw growth and when orthodontic treatment should start Crossbite case details age group Skeletal open bite/ hyperdivergent jaws Lateral incisors and premolar crossbite ready for straighter teeth and an improved smile

Schedule your braces/clear aligner consultation with us Schedule your appointment ready for straighter teeth and an improved smile. A palate expander is a tried and true method to correct an upper jaw width problem Orthodontic expanders give orthodontists a great tool to apply an orthopedic level force to the upper jaw bone

Sekijima Orthodontics - Renton Orthodontist - Before and After Pictures

Advanced training and specialized expertise an orthodontist weatherford texas completes additional years of accredited orthodontic residency training after dental school

This advanced education focuses on tooth movement biomechanics, jaw development, bite correction, and facial growth guidance. One step closer to correcting this crossbite Not looking forward to my next appointment which is projected to be 2 hours long! #adultbraces #braces #8monthsin #10monthstogo #crossbite #elastics #ilooklikeavampire

Jaw surgery, also called orthognathic surgery, may be necessary if your jaws do not align correctly Learn when treatment is necessary, costs & more. The relationship between orthodontics and temporomandibular disorders (tmds) constitutes a subject of paramount significance in dental and craniofacial health Learn why children should have their first orthodontic evaluation by age 7

Before & After Photos - Glass Orthodontics

Schedule a free consultation at our jacksonville, fl office on wilson blvd.

Look at these crossbite before and after examples from real patients to see how well crossbites can be corrected by professional orthodontic treatment. People who may benefit from palatal expansion include those with a narrow upper jaw that is leading to a crossbite and, often, dental crowding Dr fine and your jaw surgeon will work together closely to develop a treatment plan designed to achieve your goals Corrective jaw surgery when viewing jaw surgery before and after photos, please remember that every case is unique, and individual results will vary.

Thank you 🥺 i had braces for 6years to correct crossbite before i had my surgery, did you wear braces to fix your bite Discover how braces fix different types of crossbites, including anterior, posterior, and buccal Learn treatment options, the before and after results. After 14 days of surgery, mouth opening exercises are recommended to reduce scarring and jaw stiffness

Before & After Photos - Glass Orthodontics

Orthodontists will examine the wound's progress, take out any sutures or wires, and offer advice on proper mouth hygiene techniques.

Making these corrections also may make your face look more balanced Jaw surgery may be a corrective option if you have a jaw condition that braces alone can't fix Usually, you also have braces on your teeth before surgery and while you recover after surgery until healing and alignment are complete.

Before & After Photos - Glass Orthodontics
Jaw Surgery Before and After: Stunning Transformations
Before & After | Twaddle Orthodontics Columbia, MO
Before & After | Twaddle Orthodontics Columbia, MO
Before & After | Twaddle Orthodontics Columbia, MO
Before and After - Valley Orthodontics | Hudson WI